Expert Emergency Dentist in Huntington Beach, CA

In Pain and Need Help Fast?

We Offer Fast Relief With:

Same-Day Appointments

Get Seen Quickly and Get Out of Pain!

OR

Fill Out This Form to Request Your Emergency Appointment

Expert Emergency Dentist in Huntington Beach, CA

Comprehensive Emergency Dental Services in Huntington Beach, CA

At Smile HB Dental & Orthodontics, we understand that dental emergencies can be painful, stressful, and unexpected. Whether you are dealing with severe tooth pain, a knocked-out tooth, or even an emergency tooth issue like an abscess or broken restoration, our dedicated team is here to provide immediate, high-quality care.

As a trusted emergency dentist in Huntington Beach, CA, Dr. Swaroop and our skilled dental professionals are equipped to handle a wide range of urgent dental situations. Our goal is to quickly relieve discomfort, address the underlying problem, and restore both your comfort and oral health.

The Importance of Immediate Emergency Dental Care

With trusted emergency dentistry near Huntington Beach, CA, patients can get the rapid treatment they need to stop pain and prevent complications. Many dental emergencies worsen over time if not treated promptly. Delaying emergency care can lead to more severe problems, including:

  • Increased pain and discomfort

  • Infection that spreads to other parts of the body

  • Permanent tooth loss

  • More extensive and costly treatments down the line

An experienced emergency dentist in Huntington Beach, CA, provides the professional care required to protect long-term oral health and help you return to daily life without prolonged discomfort.

IIn some cases, a dental emergency can have life-threatening implications. A rapidly spreading infection, for example, can lead to sepsis if not treated immediately. If you are unsure whether your dental issue requires urgent attention, it is always best to err on the side of caution and seek prompt evaluation.

Dental Emergencies We Handle Every Day at Smile HB Dental

If you're having a dental emergency, here’s how you can protect your teeth and manage pain before you arrive:

Severe Tooth Pain & Abscesses

Sudden, intense tooth pain is often a sign of an underlying dental issue, such as an infection, deep cavity, or exposed nerve. If left untreated, an infection can spread to the jaw, face, and even the bloodstream, leading to severe health complications. Our team provides fast relief with accurate diagnoses and appropriate treatments, including root canal therapy, dental fillings, or extractions when necessary. We also offer advanced imaging technology to pinpoint the exact cause of the pain, ensuring precise and effective treatment.

If you are experiencing swelling, fever, or a bad taste in your mouth, these could be signs of a serious infection that requires immediate attention. We prioritize these cases to prevent further complications and help you return to normalcy as quickly as possible.

Knocked-Out or Broken Teeth

Accidents happen, and when they do, a knocked-out or fractured tooth requires immediate attention. The faster you seek treatment, the higher the chances of saving the tooth. If you experience dental trauma, carefully pick up the knocked-out tooth by the crown, rinse it with water (without scrubbing), and attempt to place it back in its socket. If that’s not possible, store it in milk or saliva and visit our office as soon as possible for emergency care.

For chipped or fractured teeth, we offer same-day bonding and restorative treatments to prevent further damage. Whether it's a small cosmetic chip or a significant break, our team will provide the best solution to restore both the function and aesthetics of your smile.

Lost or Damaged Fillings, Crowns, & Restorations

A lost filling or crown can cause sensitivity and leave the underlying tooth vulnerable to further damage. If a restoration falls out, keep it safe and schedule an appointment immediately. In many cases, we can reattach the crown or replace the filling to protect your tooth from decay and discomfort.

Ignoring a missing restoration can lead to food particles and bacteria accumulating in the exposed area, increasing the risk of infection and decay. Our advanced restorative options, including same-day crowns and tooth-colored fillings, allow us to provide a seamless repair that blends naturally with your existing teeth.

Soft Tissue Injuries & Excessive Bleeding

Cuts, tears, or injuries to the lips, cheeks, or gums can be painful and lead to excessive bleeding. If you experience a soft tissue injury, rinse your mouth with warm water and apply gentle pressure to control the bleeding. If the bleeding does not stop within 10–15 minutes, seek immediate care at our office or the nearest emergency room.

Our team uses gentle suturing techniques and laser therapy to speed up healing and minimize discomfort for patients with significant soft tissue injuries.

Preventing Dental Emergencies

While accidents are sometimes unavoidable, taking proactive measures can significantly reduce the risk of dental emergencies. Here are a few ways to protect your teeth and oral health:

  • Wear a Mouthguard: If you participate in contact sports or activities that may cause facial injuries, a custom-fitted mouthguard can protect your teeth from trauma.

  • Avoid Hard or Sticky Foods: Hard candies, ice, and tough foods can chip or crack your teeth. Be mindful when chewing to avoid unnecessary damage.

  • Practice Good Oral Hygiene: Brushing and flossing daily, along with regular dental checkups, can help prevent cavities, gum disease, and infections that may lead to emergencies.

  • Address Dental Issues Early: If you experience minor discomfort or notice a loose filling, don’t wait until it becomes a major problem. Seeking early intervention can prevent painful emergencies in the future.

  • Quit Bad Habits: Avoid using your teeth as tools to open packages, chew on non-food objects, or bite your nails, as these habits can lead to chips and fractures.

Can I Avoid Emergency

Dental Care?

Many people put off seeing a dentist, often because they have anxiety about the dentist’s office, or they simply think dental care isn’t something they need to worry about. The truth is that your dental health is critical to your overall health. In fact, untreated oral health issues have been linked to a wide array of health conditions, including:

  • Local Anesthetics

  • A gentle, no-judgment atmosphere

  • Step-by-step explanations before treatment

  • A compassionate team that truly listens

Routine dental care is important because it helps you prevent dental emergencies. If you haven’t seen a dentist in a while, you should schedule a checkup before you need urgent dental care. This will ensure your teeth and gums are healthy and reduce your risk of needing to see an emergency dental provider in Huntington Beach, CA.

What Our Patients Are Saying About Smile HB Dental

I started going here after I took my kids and I was very pleased with their staff. They have never made me feel bad if I didn’t have perfect hygiene and have always been extremely kind. I was self conscious about my smile, and Dr. Swaroop gave me my smile back with some amazing cosmetic work. He really is an artist and keeps a great crew of hygienists and assistants. Highly recommend

Ashley S
Ashley S

I usually don’t enjoy the dentist, but the people here are very kind which made me more comfortable. I especially liked Shay, she was so nice to me and distracted me a lot which I really appreciated :)

Coco T
Coco T

I can’t say enough great things about People Shay, Claudia, and Caesar — they are hands down the best dental team I’ve ever had! From the moment you walk in, you feel like more than just a patient; you feel like family. Shay is incredibly skilled, gentle, and thorough, always making sure I’m comfortable and understand every step of the process. Claudia is so warm and welcoming — she has this amazing way of making any nerves melt away with her kindness and bright smile. Absolute rockstars, professional, efficient, and always making sure everything runs smoothly. They don’t just provide excellent dental care; they truly care about their patients as people. The office is spotless, the technology is up to date, and the atmosphere is relaxed but professional. If you’re looking for a dentist who genuinely cares, listens, and delivers top-notch results, this is the team you want. I’m grateful I found them and honestly wouldn’t trust my smile to anyone else!

Michael D
Michael D

Dr. Swaroop and the entire office staff have been so great and accommodating. I do not enjoy the thought of going to the dentist but they always make me feel comfortable right from the start and make it a pleasant experience. They are very concerned about good health care and my teeth look and feel great when I leave there.

Indrani J
Indrani J

I never had a dentist for more than a couple of years until I started seeing Dr. Swaroop. I’ve been under his care about 15 years now and by staying on top of my teeth they look the best they have in my life. It’s great to be able to just put myself in his hands and get such outstanding results.

John T
John T

Dr Swaroop and staff is 5 out of 5 stars and I would recommend to anyone ! I drive far because it’s definitely worth traveling to. The staff is very helpful and knowledgeable about procedures and any current conditions I have. Cassandra, the Hygienist is gentle unlike my experience at previous offices. Shout out to Melissa the assistant. Always a good time at smile HB Dental!

Jonathan J
Jonathan J

Dr. Swaroop and all the staff are so great here. I had a huge fear of the dentist AND had a dental emergency on July 4 (of course the worst timing). Dr Swaroop took time out of his holiday and called me to help get me through the holiday weekend. Fast forward a month and I have a new beautiful smile! I was very self conscious for YEARS beforehand but the entire team was very kind and gentle. A thousand percent recommend! Now my entire family goes to Smile HB. Thank you Dr. Swaroop and Team!

Jessica J
Jessica J

Like many of us, visiting the Dentist would not be on a list of top things to do… My experience with HB Dental & Orthodontics was the best experience I have ever had in a Dental chair. Dr. Swaroop who was concerned with my patient comfort and concerns, readily answered questions regarding procedures performed. The staff up front, Almira, and Amalia, were knowledgeable and lighthearted, liking the interaction they had with patients, I could tell. Rome’, Dr. Swaroops Assistant was technically astute, and good for the nerves. I’m an old guy… been to many Dentists in my time. My Crown replacement work was painless, exactly what I wanted. I never thought I would look forward to a visit to the Dentist, but now I do. Thanks for the great job HB Dental & Orthodontics…

Ron M
Ron M

The support, compassion, and care. This office has it all. All of the staff are so kind and helpful with my current financial situation. Helping me get the work done on my teeth, along with setting me up to continue the progress for getting my teeth back to 100%. I was so moved by their help and kindness and am excited to continue to work with the Doctor and Staff.

Kendra B
Kendra B

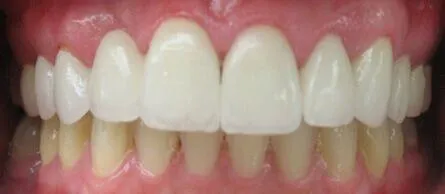
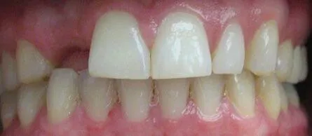
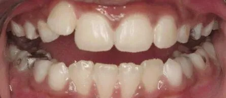
Before & Afters - Dental Results You Can See

Dental Implant

Chipped Tooth

Invisalign

Why Choose Dr. Subodh Swaroop for Emergency Dental Care?

Dr. Subodh Swaroop combines extensive training with a gentle approach to deliver exceptional dental care. Originally from Calgary, Alberta, he earned his Bachelor’s in Biology from UC Irvine and his DDS from the University of the Pacific. With advanced training in implant dentistry and years as an orthodontic instructor, Dr. Swaroop is dedicated to restoring smiles and staying at the forefront of dental innovation.

Outside the office, you’ll find Dr. Swaroop exploring Orange County’s coastal beauty, trying new foods, and enjoying classic 80s music. He is passionate about building lasting relationships with patients and helping each person achieve their best smile.

Discover the Smile HB Difference

Your First Visit: What to Expect at Smile HB Dental

What Makes Our Dental Office Stand Out?

25 Years of Smiles! Meet Our Experienced Dentist

Frequently Asked Questions About Dental Emergencies

Answers to Common Questions from Our Huntington Beach Community

What is considered a dental emergency?

A dental emergency can include situations like severe tooth pain, swelling, bleeding, broken or chipped teeth, or an injury to the mouth. If something feels urgent or is causing significant discomfort, it’s best to contact a dentist right away.

How quickly should I contact a dentist if I have a dental emergency?

You should call as soon as possible. Acting quickly can help prevent the issue from getting worse and may increase the chances of saving a damaged tooth or relieving pain faster.

Can a same-day appointment help relieve pain right away?

Yes, many dental offices offer same-day appointments to provide fast relief and begin addressing the problem. While every case is different, being seen promptly often makes a big difference in managing pain and protecting your oral health. Having access to a trusted weekend dentist near Huntington Beach, CA also means that even if pain strikes outside of standard weekday hours, you can still receive timely care and avoid unnecessary discomfort.

Can my emergency dental visit be covered by insurance?

Many dental insurance plans cover emergency visits, but it depends on your plan. It's important to check with your insurance provider beforehand. Some plans may cover part of the treatment, while others may require additional out-of-pocket costs.

What should I do if I have a broken or knocked-out tooth?

If you break or lose a tooth, try to save any pieces and contact a dentist immediately. Keeping the tooth moist (in milk or gently in your mouth) can sometimes help until you’re seen by a professional.

Are emergency dental visits more expensive than regular appointments?

The cost can vary depending on your situation and your insurance coverage. It's a good idea to call the office ahead to inquire about any potential additional fees.

How can I prepare for an emergency dental visit?

Bring any dental records if available, note your symptoms and when they began, and bring along any tooth fragments or dental appliances if they are involved. Most importantly, call ahead so the dental team can be ready to help when you arrive. Choosing a dentist that offers dental emergency care near Huntington Beach, CA, ensures that you are prepared if you need an emergency dental visit with immediate and effective treatment tailored to your situation..

What can I expect during an emergency dental appointment?

During an emergency dental appointment, your dentist will first assess your symptoms and evaluate the extent of the issue. Depending on your condition, they may provide pain relief, perform necessary treatments like fillings or extractions, and schedule follow-up care if needed. The goal is to alleviate your discomfort and address the issue as quickly as possible.

How do I handle swelling or signs of infection before arriving at the office?

If you notice swelling, tenderness, or signs of infection, call us right away. In the meantime, you can rinse gently with warm salt water to soothe irritation and apply a cold compress to the outside of your cheek to help with swelling. Avoid putting heat on the area, since that can make infection spread faster. The most important thing is to get professional care quickly—at Smile HB Dental, we’ll get you seen as soon as possible.

Should I go to the emergency room or call Smile HB Dental first?

If you’re experiencing life-threatening symptoms such as severe facial swelling that makes it hard to breathe, swallow, or see, go to the emergency room immediately. For most other dental emergencies—like broken teeth, severe toothaches, or knocked-out teeth—your best first call is Smile HB Dental. We’re equipped to handle urgent dental problems and can usually see you the same day.

What can I do if a dental crown or filling comes loose outside of office hours?

If a crown or filling comes out, try to keep the area clean and avoid chewing on that side. If the tooth is sensitive, you can place dental cement from a pharmacy or even sugarless gum over the exposed area as a temporary fix. Do not use glue or household adhesives. Call Smile HB Dental as soon as possible—we’ll schedule you for a quick repair before the problem gets worse.

How soon must I act if a tooth is completely knocked out?

Time is critical! A knocked-out tooth has the best chance of being saved if it’s reimplanted within 30 minutes. If possible, gently rinse the tooth (don’t scrub it), and try to place it back into the socket. If that’s not possible, keep it moist by storing it in a container of milk or your own saliva until you get to us. Call Smile HB Dental right away so we can guide you and get you in immediately.

Looking for an Emergency Dentist near Huntington Beach, CA?

Visit Our Convenient Location

At Smile HB Dental, we have put in a great deal of thought and effort into creating an enjoyable patient experience. Our staff will make sure that you have everything you need for a very pleasant visit.

Missing Most of Your Teeth?

This fixed, full arch implant uses the latest dental technology to give you a dream smile that’s as good as if not better than the smile nature gave you. The full arch:

  • Resists chips and stains

  • Offers a permanent solution

  • Custom-designed for 4-6 implants

Missing Lots of Teeth?

Implant stabilized overdentures offer a cost-effective alternative to regular dentures. Overdentures:

  • Snap into place over 2-4 implants

  • Help prevent bone loss

  • Vastly improve your food chewing and tasting

Financing & Payment Plans

We understand how important it is to be able to restore your dental health and your confidence with a long-term solution. That’s why we offer third-party financing options and work with you on payment plans to fit your budget.

Single Implant Replaced

for as little as

$97/mo*

Implant Retained Dentures

for

$247/mo*

Full Fixed Arch

as low as

$347/mo*

Take the quiz to see if you're eligible

*Subject to Credit Approval

At your consultation, we can review all the options available to you.